DZCA
Audio By Carbonatix
When Winnie steps into the room where she will have her ultrasound, the first-time expectant mother doesn’t have any nerves — just a hankering for her favorite snack: a bright green avocado mashed to a perfect consistency and a cup of wriggling mealworms.
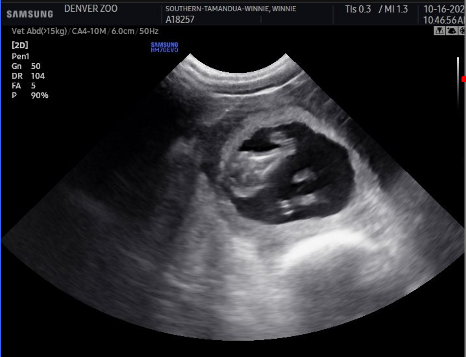
It might seem like a strange pregnancy craving, but Winnie is a tamandua (aka an anteater), after all. Winnie chows down, unconcernedly splattering avocado everywhere as veterinarian Kiran Fong and registered veterinary technician Danielle Coffman perform the ultrasound, capturing images and measurements of Winnie’s baby, which will be the first tamandua born at the Denver Zoo Conservation Alliance in over a decade.

Kristen Fiore
To say that everyone’s excited is an understatement. “There was a lot of screaming and crying and dancing around” when the team learned of Winnie’s pregnancy, according to Animal Care Specialist Rebecca Wanner. “We’ve taken a lot of videos and pictures. We threw confetti. Winnie didn’t care about the confetti. I’ve told everyone in my radius of people, and they’re also really excited about it.”
This year, make your gift count –
Invest in local news that matters.
Our work is funded by readers like you who make voluntary gifts because they value our work and want to see it continue. Make a contribution today to help us reach our $50,000 goal!
When it was time to announce the pregnancy to the public, Coffman carefully sized and printed out a strip of ultrasound images for Winnie and her partner, Santiago, to hold up for a photo that has amassed over 76,000 likes on the zoo’s Instagram.
While the weekly ultrasounds cannot confirm the sex of the baby, Wanner says that it will be born sometime in January. “Tamandua pregnancies are 130 to 150 days,” she says. “We’re doing a guesstimate window based on measurements Kiran is taking. Those measurements are actually really well-documented in scientific papers for gestational size in tamanduas. Because we were doing practice ultrasounds prior to the baby actually being here, Kiran and I were able to see it when it was just a tiny blip on the radar, so we have a good guess based on when we started seeing something that we can do the math on.” And yes, you can see the tamandua’s prominent snout in the ultrasound.
Winnie is trained to participate in her own health care, including ultrasounds. “Avocado is her favorite snack, and one of her behaviors is to hold on to the cup with her claws,” Wanner says. “We’ve found that as long as we have the right snack, she cares a lot more about that than whatever we’re doing.”

DCZA
And she always has the option to walk away if she does care what the veterinarians are doing. “We leave the door open,” Wanner says. “A lot of times, the ultrasound ends because she’s like, ‘We’re good,’ and just walks home.”
The zoo trains its animals with a lot of snacks and positive reinforcement, but snacks don’t always work for Winnie. “She likes to go for walks,” Wanner says. “She loves to explore. Sometimes she’ll just blow through whatever you want her to do just to go on a walk. We’ve found she’s a snacks/experiences kind of gal, which makes her a little bit more unique, but it’s fun to have a lot of options for her.”
Before and early in her pregnancy, Winnie was going on a lot of walks and enjoying chance encounters with zoo visitors, but now that it’s cold (it has to be above 55 degrees for her to go outside) and the pregnancy is making it harder for her to walk a lot, Winnie mostly stays inside.
All of DZCA’s tamanduas are animal ambassadors, which means they frequently interact with people and sometimes even leave the zoo to attend events. Because of that, they do not have public enclosures at the zoo and live more behind the scenes, so that they have privacy and time away from people.

Kristen Fiore
The zoo currently has three tamanduas: Winnie, Santiago and Laird, who is about 22 years old. Tamanduas typically live between 18 and 20 years, “so he’s really nailing it,” Wanner says of Laird. The tamanduas, or lesser anteaters, can be found throughout South America and Central America. They compete for the same food sources as the giant anteaters that, at 60 to 90 pounds, are up to six times the size of a lesser anteater.
“Giant anteaters roam around and get into termite mounds,” Wanner says. “Tamanduas do the same thing, but by being smaller, they can climb up in the trees, so they spend more time in the trees peeling the bark off to get woodboring insects instead of having to rely specifically on termite mounds.”
Of course, at the zoo, food is plentiful, and the tamanduas will gladly eat out of people’s hands — people who aren’t bothered by a handful of live mealworms and a very wet 16-inch tongue, that is.
Winnie, the most sassy and particular of the three tamanduas, will turn eight on January 2. (“All those fireworks you’re doing on January 1 are probably just for another year of Winnie,” Wanner jokes.) She was brought to DZCA from the Staten Island Zoo when she was just over a year old to try breeding with Laird. “It did not work out,” Wanner says. “The two of them would have more moments of fighting with each other that indicated to us that they weren’t a good pair. It could be because he was much older than her, so we separated them.”
Zoo breeding goes through a Species Survival Program, which involves a large network of people doing math and coordination to keep track of all of the tamanduas that are in zoo collections. “We have people whose job it is to keep track of birthrates, who’s matched up with who, the genetics of it all, whose genetic lines come from where, which genetic lines pair up best,” Wanner explains. “Then they make a recommendation based on all the information they collect.”
Usually, after the baby spends about a year with its mother, the SSP decides where the new tamandua will go.
Santiago, a young tamandua from Nashville, was the next recommendation for Winnie, and this time, the pairing worked out. “Santiago turns two on February 2, so Winnie is a bit of a cougar,” Wanner says. Santiago’s dad was actually the first baby she ever raised when she worked in San Antonio, she notes, so it’s all coming full circle.
DCZA participates in a lot of SSPs for many different animals; Wanner admits that with some, like scorpions that produce more than twenty babies at a time, it can be hard to keep track of how many babies are born at the zoo each year. Lion cubs were the most recent high-profile births, but there have also been tortoises, endangered hoofstock and bird species born in Denver this year.
Since Winnie will be a new mom, Wanner says the team is planning to be very watchful and cautious to see how she reacts to motherhood. “Sometimes first-time moms are the best, but sometimes they struggle,” Wanner explains.
The last tamandua birth at DCZA, in 2014, was Cayenne, whose mother, Rio, another first-time mother, became inattentive and wasn’t allowing Cayenne to nurse. As a result, zookeepers had to step in and feed Cayenne around the clock with a bottle.
Tamandua mothers carry their offspring on their backs. “Those claws are really good for hanging on tight, so a lot of times, it’s moms going about their usual business and babies coming with them,” Wanner says. As the baby grows, it will continue to try to ride around on its mother. “You’ll see a full-grown baby tamandua that’s like the same size as mom be like, ‘I’m getting on your back, right?’ and that’s usually where the parting comes, where they’re like, ‘No, you’re big enough now.’ They’ll do a lot of stuff tandem for a long time, and then hopefully we’ll start to see it explore on its own and see where it takes us.”

Kristen Fiore
Eventually, the baby might be seen taking walks around the zoo with Winnie, Wanner adds. The baby could become an animal ambassador, too, or might be sent somewhere else after its year with Winnie. Nothing is certain right now except the anticipation of a new tamandua.
“We’re very excited to be able to share the journey,” Wanner says. “I’ll probably be talking about it forever.”